Các loại lá cây tốt cho phổi - BNC medipharm
Những cây thuốc nam trị bệnh phổi an toàn hiệu quả
Bệnh phổi là căn bệnh nguy hiểm thường gặp và cũng có nhiều phương pháp chữa trị từ đông y, tây y, y học cổ truyền, y học hiện đại. Vậy những cây thuốc nam trị bệnh phổi an toàn hiệu quả là câu hỏi của nhiều người. Thuốc nam được y học cổ truyền Việt Nam ứng dụng từ rất lâu rồi đã dùng những cây thuốc nam để chữa bệnh. Dưới đây chúng ta cùng đi tìm hiểu chi tiết về những cây thuốc nam trị bệnh phổi...
Xơ phổi hậu covid có chữa được không? - BNC medipharm
Xơ phổi hậu covid là tình trạng mà nhiều bệnh nhân gặp phải hiện nay do virus tàn phá phổi. Vậy xơ phổi hậu covid có chữa được không là câu hỏi của nhiều người. COVID-19 tác động đến mỗi người theo những cách khác nhau. Hầu hết những người nhiễm vi-rút sẽ có triệu chứng bệnh từ nhẹ đến trung bình và có thể hồi phục mà không cần nhập viện. Tuy nhiên cũng nhiều người bị nhiễm nặng và đã có rất nhiều người tử vong bởi đại...
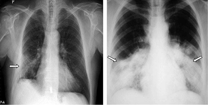
Bệnh xơ phổi sống được bao lâu? - BNC medipharm
Bệnh xơ phổi là căn bệnh nguy hiểm thường gặp hiện nay và nhiều người gặp phải. Vậy bệnh xơ phổi sống được bao lâu là câu hỏi của nhiều người. Bệnh xơ phổi thường gặp ở người lớn tuổi, đặc biệt là 50 - 70 tuổi, xơ phổi làm tổn thương các mô bên trong phổi, gây nên các cơn khó thở cùng nhiều biến chứng nguy hiểm khác. Tùy vào tiến triển bệnh mà tiên lượng sống còn của bệnh nhân khác nhau. Dưới đây chúng ta cùng...
Xơ phổi có nguy hiểm không và cách điều trị ra sao?
Xơ phổi là căn bệnh thường gặp hiện nay và nhiều người mắc phải. Vậy xơ phổi có nguy hiểm không và cách điều trị ra sao là câu hỏi của nhiều người. Xơ phổi là tình trạng các mô bên trong phổi bị tổn thương mãn tính khiến cho các mô phổi dày lên, cứng hơn do bị mất tính đàn hồi, từ đó gây ra sẹo. Phổi bị xơ sẹo và cứng nên làm hạn chế khả năng hít thở của người bệnh. Dưới đây chúng ta cùng...
Xơ phổi là gì cách phòng và điều trị bệnh ra sao?
Xơ phổi là tình trạng nhiều người gặp phải hiện nay và cũng có nhiều thắc mắc về căn bệnh này. Vậy xơ phổi là gì và cách điều trị ra sao là câu hỏi của nhiều người. Xơ phổi xảy ra khi các mô phổi bị tổn thương nhiều lần dẫn tới xơ hóa, ảnh hưởng và làm suy giảm chức năng của cơ quan này. Phổi bị xơ sẹo và cứng nên làm hạn chế khả năng hít thở của người bệnh. Dưới đây chúng ta cùng đi...
Danh mục tin tức
Tin đọc nhiều nhất
- Bệnh Gan Có Thể Lây Nhiễm? Những Điều Bạn Cần Biết
- Gợi ý một số cây thuốc nam chữa viêm phổi cực hiệu quả, có thể bạn chưa biết
- Bệnh Trĩ Ngoại: Đâu Là Giải Pháp Hiệu Quả Để Chấm Dứt Cơn Đau?
- Chế Độ Ăn Lành Mạnh Cho Người Bị Sỏi Thận: Lời Khuyên Từ Chuyên Gia
- Triệu chứng viêm gan B giai đoạn đầu là gì? Làm gì khi phát hiện các triệu chứng bệnh?
- Phụ Nữ Bị Trĩ Có Thể Gây Nguy Hiểm Cho Khả Năng Sinh Sản? Sự Thật Khiến Nhiều Người Sốc
- Rối loạn cương dương ở người trẻ và những điều bạn không ngờ tới
- Viêm Gan B: Dấu Hiệu Cảnh Báo và Cách Phòng Ngừa Hiệu Quả
- Mách bạn 5 cách làm đẹp da tại nhà với mặt nạ đậu đỏ
- Những hiểu lầm về bệnh thiếu máu cơ tim - Có thể bạn chưa biết












