Đo kích thước tiền liệt tuyến ở đâu?
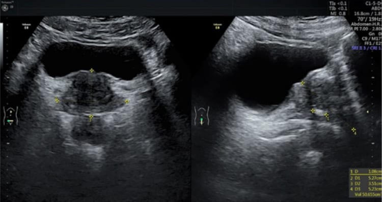
Bạn muốn đo kích thước tiền liệt tuyến, bạn chưa biết đến đâu để đo cho tốt. Đo kích thước tiền liệt tuyến ở đâu là câu hỏi của nhiều người. Vị trí Tuyến tiền liệt nằm trên hoành chậu hông, dưới bàng quang, sau xương mu, giữa hai cơ nâng hậu môn và trước trực tràng, nó bọc quanh niệu đạo sau. Để đo được tuyến tiền liệt chúng ta cần phải có sự can thiệp của y học và các y bác sĩ. Dưới đây chúng ta cùng đi tìm hiểu xem đo kích thước tuyến tiền liệt ở đâu?
* Đo kích thước tuyến tiền liệt ở đâu?
Để đi khám hiệu quả hơn, đi khám đúng cơ sở y tế có thế mạnh về nhóm bệnh tuyến tiền...
Danh mục tin tức
Tin đọc nhiều nhất
- Bệnh Gan Có Thể Lây Nhiễm? Những Điều Bạn Cần Biết
- Gợi ý một số cây thuốc nam chữa viêm phổi cực hiệu quả, có thể bạn chưa biết
- Bệnh Trĩ Ngoại: Đâu Là Giải Pháp Hiệu Quả Để Chấm Dứt Cơn Đau?
- Chế Độ Ăn Lành Mạnh Cho Người Bị Sỏi Thận: Lời Khuyên Từ Chuyên Gia
- Triệu chứng viêm gan B giai đoạn đầu là gì? Làm gì khi phát hiện các triệu chứng bệnh?
- Phụ Nữ Bị Trĩ Có Thể Gây Nguy Hiểm Cho Khả Năng Sinh Sản? Sự Thật Khiến Nhiều Người Sốc
- Rối loạn cương dương ở người trẻ và những điều bạn không ngờ tới
- Viêm Gan B: Dấu Hiệu Cảnh Báo và Cách Phòng Ngừa Hiệu Quả
- Mách bạn 5 cách làm đẹp da tại nhà với mặt nạ đậu đỏ
- Những hiểu lầm về bệnh thiếu máu cơ tim - Có thể bạn chưa biết












